ابتسامات هوليود: سر الابتسامة المثالية وأسنان ناصعة البياض
تعد الابتسامة الجذابة من أقوى أدوات التواصل البشري، فهي ليست مجرد تعبير عن السعادة، بل هي عنوان للثقة بالنفس وبوابة للقبول الاجتماعي والمهني. في عصرنا الحالي، أصبحت معايير الجمال تركز بشكل أساسي على تناسق الأسنان وبياضها، وهو ما جعل ابتسامات هوليود تتصدر قائمة الإجراءات التجميلية الأكثر طلباً في الرياض. إن الحصول على “ابتسامة النجوم” لم يعد حكراً على المشاهير فحسب، بل أصبح متاحاً لكل من يطمح لتحسين مظهره العام من خلال حلول طبية متطورة تدمج بين الفن والعلم. في عيادة لوسيرا، نؤمن أن كل مراجع يستحق ابتسامة فريدة تعكس شخصيته وتبرز جمال ملامحه الطبيعية.
ما المقصود بابتسامة هوليود؟
عند الحديث عن ابتسامات هوليود، فنحن لا نتحدث عن إجراء واحد، بل عن “تصميم كامل للابتسامة” (Smile Makeover). تهدف هذه العملية إلى تغيير شامل لشكل، لون، وطول الأسنان لتتناسب مع قياسات الوجه وخط الابتسامة الخاص بكل فرد. يعتمد هذا الإجراء بشكل أساسي على تركيب قشور خزفية رقيقة جداً، تُعرف بـ “الفينير” (Veneers) أو “اللومينير” (Lumineers)، يتم إلصاقها على الواجهة الأمامية للأسنان لتغطية كافة العيوب.
إن الغرض من ابتسامات هوليود هو الوصول إلى مظهر مثالي وخالٍ من العيوب، حيث يتم اختيار درجة البياض بدقة فائقة لتكون ناصعة وفي الوقت ذاته متناغمة مع لون البشرة وبياض العين، مما يعطي انطباعاً طبيعياً وجذاباً في آن واحد.

لماذا أصبحت ابتسامة هوليود شائعة؟
يرجع الانتشار الواسع لـ ابتسامات هوليود إلى عدة عوامل جعلتها “المعيار الذهبي” في تجميل الأسنان:
- التغيير الجذري الفوري: هي أسرع وسيلة للحصول على نتائج مبهرة؛ ففي غضون جلستين فقط، يمكن للمراجع الانتقال من أسنان غير متناسقة إلى ابتسامة مثالية.
- تطور المواد المستخدمة: المواد الخزفية الحديثة مثل “الإيماكس” (E-max) تحاكي طبقة المينا الطبيعية في شفافيتها وقدرتها على عكس الضوء.
- التأثير النفسي: أثبتت الدراسات أن الأشخاص الذين يمتلكون ابتسامات هوليود يشعرون بثقة أكبر في التجمعات الاجتماعية والمقابلات العملية.
- المتانة العالية: القشور المستخدمة في ابتسامات هوليود مقاومة جداً للصبغات، مما يعني بقاء الأسنان بيضاء لسنوات طويلة دون الحاجة لتبييض دوري.
المشاكل التي تعالجها ابتسامة هوليود
تعتبر ابتسامات هوليود حلاً سحرياً وشاملاً للعديد من المشكلات التي قد لا يحلها تبييض الأسنان التقليدي أو التقويم البسيط، ومنها:
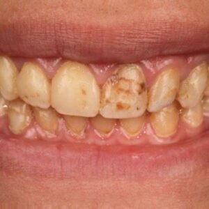
- التصبغات العميقة: التي لا تستجيب لمواد التبييض الكيميائية، مثل بقع الفلوروز أو التصبغات الناتجة عن الأدوية.
- الفراغات بين الأسنان: إغلاق الفواصل (Diastema) بشكل فني يضمن تناسقاً تاماً.
- الأسنان المكسورة أو المتآكلة: ترميم الأطراف المتكسرة وإعادة الطول الطبيعي للسن.
- عدم انتظام شكل الأسنان: تصحيح الازدحام البسيط أو الأسنان ذات الأحجام غير المتناغمة.
- الابتسامة اللثوية: من خلال تصميم ابتسامات هوليود، يمكن موازنة نسبة ظهور اللثة مع الأسنان بشكل جمالي.
أنواع ابتسامة هوليود
في عيادة لوسيرا، التي تُعد أفضل عيادة ابتسامة هوليود بالرياض، نوفر خيارات متعددة تناسب احتياجات كل مراجع:
1. ابتسامة هوليود بالفينير (Veneers)
وهي النوع الأكثر شيوعاً، وتتطلب مبرداً بسيطاً جداً لطبقة المينا (حوالي 0.5 ملم) لضمان ثبات القشرة الخزفية. يتميز الفينير بقدرته العالية على إخفاء العيوب العميقة وتغيير لون الأسنان الداكنة جداً.
2. ابتسامة هوليود باللومينير (Lumineers)
يُطلق عليها أحياناً “العدسات اللاصقة للأسنان” نظراً لرقتها المتناهية (تشبه سماكة عدسة العين). ميزة هذا النوع من ابتسامات هوليود أنه غالباً ما يتم دون برد للأسنان أو بأقل قدر ممكن، مما يجعله إجراءً غير جراحي ومحافظاً على بنية السن الطبيعية.
3. العدسات التجميلية للأسنان (3D Veneers)
وهي تقنية حديثة تعتمد على التصميم الرقمي ثلاثي الأبعاد، حيث يتم تصنيع العدسات بدقة متناهية لتناسب تفاصيل سنك الدقيقة، وتوفر لمعاناً وشفافية تحاكي الأسنان الطبيعية تماماً.
خطوات الحصول على ابتسامة هوليود
في عيادة لوسيرا، نتبع مساراً تقنياً وفنياً دقيقاً لضمان خروجك بـ ابتسامات هوليود التي تحلم بها:
- الاستشارة والتصميم الرقمي: نقوم بأخذ صور فوتوغرافية ومسح رقمي (Digital Scan) للفم. هنا نقوم بتصميم الابتسامة على الكمبيوتر لتشاهد النتيجة المتوقعة قبل البدء.
- التحضير: يتم برد طبقة رقيقة جداً من الأسنان (في حال الفينير) وأخذ الطبعات النهائية لإرسالها للمختبر.
- الابتسامة المؤقتة: نضع قشوراً مؤقتة لحماية أسنانك ولتجربة شكل الابتسامة الجديدة في حياتك اليومية.
- التركيب النهائي: بعد وصول العدسات من المختبر، يقوم الطبيب في أفضل عيادة ابتسامة هوليود بتجربتها والتأكد من تطابقها التام، ثم لصقها بمواد قوية جداً ودائمة.
من هم الأشخاص المناسبون لابتسامة هوليود؟
تعتبر ابتسامات هوليود خياراً رائعاً لمعظم البالغين الذين يرغبون في تحسين مظهرهم، ولكن هناك شروطاً أساسية:
- يجب أن تكون اللثة سليمة وخالية من الالتهابات المزمنة.
- يجب ألا يعاني المراجع من تسوسات عميقة غير معالجة.
- الأشخاص الذين لا يعانون من “صرير الأسنان” (Grinding) الليلي الحاد، أو من يلتزمون بلبس واقي الأسنان.
نحن في لوسيرا نقوم بتقييم حالتك بدقة لضمان أن ابتسامات هوليود ستعيش معك لسنوات طويلة دون مشاكل.
كيف تحافظ على ابتسامة هوليود لفترة طويلة؟
رغم أن المواد المستخدمة في ابتسامات هوليود صلبة ومقاومة للصبغات، إلا أن العناية بها ضرورية لإطالة عمرها الافتراضي:
- النظافة اليومية: استخدام الفرشاة والمعجون والخيط السني كما تفعل مع أسنانك الطبيعية تماماً.
- تجنب العادات القاسية: مثل قضم الأظافر أو فتح العلب بالأسنان، فـ ابتسامات هوليود قد تتعرض للكسر تحت الضغط الميكانيكي الشديد.
- المراجعة الدورية: زيارة أفضل عيادة ابتسامة هوليود كل 6 أشهر للفحص والتنظيف الاحترافي تضمن استدامة اللمعان وصحة اللثة المحيطة بالعدسات.
- واقي الأسنان: إذا كنت تمارس رياضات عنيفة أو تعاني من كز الأسنان أثناء النوم.
هل ابتسامة هوليود دائمة؟
من الناحية الطبية، تعتبر ابتسامات هوليود إجراءً طويل الأمد ولكن ليس “أبدياً”. العدسات الخزفية عالية الجودة تعيش عادة ما بين 10 إلى 20 عاماً إذا تمت العناية بها بشكل صحيح. بعد هذه المدة، قد يحتاج المراجع لاستبدال بعض العدسات أو تجديدها نتيجة تراجع اللثة الطبيعي مع العمر أو حدوث كسر نتيحة حادث. ومع ذلك، فإن الاستثمار في ابتسامات هوليود يبقى من أكثر الاستثمارات التجميلية قيمةً نظراً للتحول الإيجابي الذي يطرأ على حياة الشخص.
الأسئلة الشائعة حول ابتسامة هوليود
هل ابتسامة هوليود مؤلمة؟
عملية الحصول على ابتسامات هوليود غير مؤلمة إجمالاً. يتم استخدام التخدير الموضعي أثناء مرحلة التحضير البسيط لضمان راحة المراجع التامة. بعد الجلسة، قد يشعر البعض بحساسية بسيطة تجاه البارد والساخن، لكنها تتلاشى تماماً خلال أيام قليلة.
كم تدوم ابتسامة هوليود؟
كما ذكرنا، تدوم ابتسامات هوليود في المتوسط ما بين 10 إلى 15 سنة، وقد تصل إلى 20 سنة مع الالتزام التام بتعليمات الطبيب في لوسيرا، التي تُعد أفضل عيادة ابتسامة هوليود من حيث جودة المواد والتركيب.
هل تناسب ابتسامة هوليود جميع الأشخاص؟
تناسب معظم البالغين، لكنها قد لا تكون الخيار الأول لمن لديهم أسنان ضعيفة جداً أو مفقودة بكثرة (حيث يفضل هنا الزرع أو التيجان الكاملة). الطبيب المختص هو من يقرر ما إذا كانت ابتسامات هوليود هي الحل الأمثل لك بعد الفحص السريري.
في الختام، الحصول على ابتسامة النجوم هو قرار يغير حياتك للأفضل. نحن في عيادة لوسيرا بالرياض، نجمع بين أحدث التقنيات الرقمية واللمسة الفنية لأمهر الأطباء لنقدم لك ابتسامات هوليود التي تعكس جمالك الداخلي وتمنحك الثقة التي تستحقها.
ابتسامة أحلامك تبدأ من هنا.. احجز موعدك الآن في أفضل عيادة ابتسامة هوليود في الرياض واستعد للتحول الكبير!
مواعيدنا:
السبت – الخميس: 2 ظهرًا – 10 مساءً
للتواصل معنا:
920005288
لمتابعتنا:

